Why do I believe preserving structure is enough?
There’s a lot even our best neuroscientists don’t know about the human brain. How can we have any reasonable hope for preservation given those unknowns? What if there are crucial memory mechanisms that are so poorly understood, we don’t even know to check whether our methods preserve them? As it turns out, there’s some interesting empirical evidence about the general shape, and limits, of those unknowns.
In Ted Chiang’s short story Exhalation, a race of aliens have brains which run on compressed air, performing computations and storing information in elaborate arrangements of hinged gold-foil leaves. The leaves are held in position by a constant stream of air flowing through the brain’s tubules, encoding alien thoughts and memories. That ephemeral suspension pattern is the whole self—any alien whose supply of compressed air runs out is reduced to a catatonic state, all of their memories erased as the gold-foil leaves hang limply down. Even if air pressure is restored, the original information is lost for good. The person can never be recovered.
If this was how brains worked in our world, I’d be working on a very different kind of preservation, like longevity researchers or some kind of relativistic time-dilation bubble. I think we got lucky, though: when we look at electrical blackouts in the human brain, we observe something much more convenient:
This image, from Broestl et al 2013, is an EEG of a patient’s brain activity. The flat section in the middle is during 15 minutes of cardiac arrest. The patient fully recovered afterwards.
The lady in the lake
In 1999, a Swedish radiologist named Anna Bågenholm fell into a frozen lake while skiing and became trapped under an eight-inch-thick layer of ice. For forty minutes, she struggled to breathe from a trapped air pocket before finally losing consciousness. At that point, her breathing stopped, her heart stopped pumping blood, and her brain went dark as electrical activity ceased—not like the quiet of sleep or even a coma, but complete electrocerebral silence. And then it took nearly an hour after that before rescuers managed to pull her body out of the water.
But this was not the end. Her rescuers airlifted her body to a hospital where—after two and a half hours with zero heartbeat—doctors attempted to carefully rewarm her. The operation took nine hours, but in the end, she survived. Even more remarkably, she made essentially a complete recovery, with no lasting brain damage save for the loss of some immediate short term memory, and no lingering problems save for some nerve damage in her hands and feet.
So a person who fell into a frozen lake, spending an hour with zero vital signs and a core body temperature of 57 °F/13.7 °C, survived the experience. The mishap was a freak accident, but the astonishing fact that recovery is possible tells us something about how brains work. Bågenholm’s case should already make us suspicious of any theory where—like the unfortunate gold-foil leaves in Chiang’s pneumatic aliens—the ephemeral live activity of the brain is load-bearing for memory and personal identity. This situation looks like the sort of thing you’d expect to observe in a universe where brains can safely be turned off and back on again. Whatever consequences Bågenholm may have suffered from her accident, she certainly seemed to emerge with her memories, cognition, and personality intact.
Using cold to save lives: DHCA
How is such survival possible? Of course, at ordinary warm temperatures, we can only go a few minutes without oxygen before suffering lasting catastrophic damage—hence the debilitating consequences of heart attack and stroke. But cold-water survival, which has been documented since ancient times, is another story. It turns out that a warm, oxygen-starved brain quickly begins to damage itself. While you’d ideally like your brain to have all the oxygen it wants, the next best thing is to avoid trying to run it—just like you’d power off your phone if you spilled a glass of water on it. It turns out that cold temperatures (about 15-30°C) are very effective at powering down brains in this way.
In fact, once you know the phenomenon exists, powering down brains turns out to be a useful technology—specifically for brain and heart surgeons whose operations depend on being able to work on a brain or heart while it is temporarily offline. The heart does not try to pump blood, the brain does not spark with electricity, and yet the body does not suffocate from the resulting lack of oxygen. Hence the technique of hypothermic circulatory arrest (HCA) was developed[1]. Before an operation, surgeons lower the body’s temperature until circulation stops, usually targeting 20-28°C (moderate hypothermic circulatory arrest, MHCA) or in some cases as low as 14-20°C (deep hypothermic circulatory arrest, DHCA). This extreme cooling buys a window of time in which all normal vital signs are suspended—heartbeat stops, breathing stops, the brain becomes quiet—and the delicate surgery can take place. After the procedure is complete, the patient is carefully, slowly warmed and resuscitated, and they return to everyday life.
Hypothermic circulatory arrest provides cerebral protection during an extended period without oxygen or blood flow. For this reason, it has become the standard of care (Chau, 2013) for heart and brain operations since it was developed in the 1960s: for example, over 7,000 patients in the US underwent hypothermic circulatory arrest procedures between 2017 and 2021.
So how do patients fare afterwards? Do they survive with their memories, cognition, and personalities intact? In fact, in addition to the anecdotal experiences of patients and surgeons in the field, there’s plenty of literature evaluating the effects of DHCA on cognition. For example, Stecker et al. (2001) (Part II) survey 109 patients immediately after DHCA and find that 75% are aware, oriented, and neurologically normal. This doesn’t seem bad, among a population of very ill and immediately post-operative people, several of whom suffered strokes before or during the procedure.
More to the point, Percy et al. (2009) studied people in high-cognitive professions who underwent DHCA. Included in the group were “physicians, lawyers, doctorates, clergymen, artists, musicians, accountants, and managers”. The researchers interviewed both patients and their close family members, asking what differences they noticed before and after the surgery. The researchers found “excellent preservation of cognitive function after surgery, according to both patient and informant responses,” arguing that “although subtle deficits after DHCA might hide in individuals with less intellectually demanding professions, it is unlikely that substantive deficits could remain undetected in our high cognitive needs group.”
I still remember the first time I ever heard about DHCA: a brief digression during a TA session that was part of Sebastian Seung’s Intro to Neuroscience class at MIT, 2009. I remember because learning about DHCA was literally life changing for me. I learned that people can be “shut down” by cold, that they don’t have any appreciable brain activity in such a state, that this was being used in hospitals routinely for tricky heart surgeries! For me, DHCA was one of those things that, once you see it, even for a moment, your life can never be the same again. I left that TA session in a haze. I hope to share some of that excitement with you today.
Electrocerebral silence
As a technical aside, I want to dive into the term electrocerebral silence—the electrical-blackout phenomenon observed in brains under hypothermic circulatory arrest. Although in cooled brains, electrical activity shuts down to the point that it’s undetectable on a standard EEG (unlike the gentle characteristic waveforms of an anesthetized or unconscious brain, electrocerebral silence looks like a total flatline; see Mizrahi et al. 1989.), the point isn’t the total absence of electricity. Brain cells, being bags of ions, may still occasionally emit tiny, sporadic sparks. The point is that they are totally disrupted in their ordinary electrical behaviors, unable to perform anything like normal synaptic computations (Volgushev 2000), and operating at levels so low they are invisible under EEG.
Stecker et al 2001, Part I, Figure 3, “(D) precooling, (E) appearance of periodic complexes, (F) appearance of burst suppression, and (G) electrocerebral silence”. This EEG readout shows the progression of electrical activity in a brain as hypothermia is induced. The final image (G) shows electrocerebral silence—where potential has fallen below the EEG’s level of random noise, around 2–3 µV.
Stecker et al. (2001) tried deliberately super-stimulating neurons in chilly hypothermic brains, inducing evoked potentials by stimulating the wrist using a current 10-50x larger than a normal nerve signal. They found that even these oversize pulses petered out before reaching the cortex, indicating that the signaling pathways through the deep brain had been disrupted. The neurons had lost their ability to transmit information.
Cool them even further, and you can eventually knock out the ability of individual neurons to fire at all, even when artificially stimulated. The exact failure temperature varies by neuron, but averages around 12°C, and gets as low as 4°C (Girard and Bullier, 1989). Notably, 4°C is a temperature from which humans have recovered (Zafren 2020).
Girard and Bullier 1989, Figure 5A. Most neurons become incapable of firing around 12°C, even when artificially stimulated.
In short, I’d argue that in a person undergoing routine HCA, the occasional solitary neuron may send off sparks, but it’s clear these chilled, oxygen-starved neurons are almost entirely silent, are unable to communicate with each other over long distances, and that the ordinary dynamics of electrical cascades in the brain—and whatever information those dynamics held—have been totally disrupted.
Known unknowns
When I look at the state of the evidence, I find it implausible that we live in the inconvenient world of Chiang’s aliens. Instead, I seem to observe a world where the electrical cascades in the brain can be disrupted and zeroed out, but as long as the structure is intact, latent cognition remains intact. (For what it’s worth, “memory is structural” is also the conventional view among neuroscientists.)
This is why Nectome has put so much energy into preserving nanostructure in exquisite detail. There’s a lot we don’t know about the human brain, but whatever secrets it holds, the evidence points to them being stored in its intricate physical structures. We can’t decipher them yet—but we can make sure the structure is right there, ready for the future.
- ^
Charles Drew was one of the pioneers of HCA, and I’m sure, regardless of what’s been written after that fact, that he had to fight to make the idea happen; progress often requires people to stand up and do the “obvious” often at significant personal expense, and for this he’s one of my heroes.
This is very cool! But I find myself wondering if preserving the interneural structure is enough? Do you have any opinions on whether there might be important information inside the neuron, or surrounding support tissue, and whether the fixatives Nectome uses could destroy them?
This is one of the most important questions to be asking, and it deserves its own post, which I’m currently working on.
The short answer to your question is I believe that fixation as used in Nectome’s preservation methods preserves almost all proteins and other biomolecules present in the entire body. And because fixation is very comprehensive, I think that it’s likely to comprehensibly capture important information contained within the neuron and surrounding tissue, including things we don’t currently understand.
Why do I believe in the comprehensiveness of fixation?
Here’s a model of a synapse with about a third of its proteins (the ones involved in vesicle transport) shown (Wilhelm 2014):
A synapse is the “business end” of a neuron. It’s the thing that changes in response to memory formation, it’s the bridge that transmits action potentials from one neuron to another. A single synapse is around half a femtoliter in volume, that’s about a one quadrillionth the size of the whole brain. I didn’t appreciate this when I first started preserving brains, but a synapse (as well as every cell in the body) is absolutely FULL of proteins, as you can see in the picture above, which again is only showing around 1/3rd of the proteins. Before I saw images like this, I thought that cells were mostly water with proteins elegantly doing their thing, with lots of “elbow room”. After seeing what these things actually look like I find myself surprised that cells are even liquid at all instead of solid peptide blocks. My intuition about cells is now that they’re already right on the edge of being solid already, and it barely takes anything to nudge them the rest of the way: think egg-whites becoming solid when cooked.
With this context, there’s three core things that I think about when it comes to the comprehensiveness of fixation:
A first-principles chemistry argument: You probably couldn’t see a single molecule of glutaraldehyde if you tried to accurately draw it in this picture above—glutaraldehyde has a molecular weight of ~100 and these proteins are more like ~30,000. When you flood the vascular system with glutaraldehyde, it crosses cell membranes in seconds and starts crosslinking proteins to themselves and to other proteins. In less than two minutes after glutaraldehyde enters a cell, it forms a gel that traps essentially all proteins, DNA, etc in-place (Huebinger et. al. 2018).
Before fixation, the proteins already aren’t crossing the cell / synaptic membrane or else they would have already crossed. Binding them to themselves and each other makes it almost impossible to move within the cell, restricting them further.
We can still see proteins after fixation: The entire field of immunohistochemistry is built on measuring the positions and amounts of proteins in cells using antibody staining. And one of the first steps of preparation of tissue for immunohistochemistry is to fix proteins with aldehydes. Check out the Supplemental Figures from Wilhelm 2014. Those researchers studied the vesicle transport proteins that make up about 1/3rd of the total proteins by weight in a synapse. That’s ~300,000 total proteins divided into 62 different kinds of proteins. (A synapse has around 1,000-2,000 different kinds of proteins and ~1,000,000 total proteins in that half a femtoliter.) For each of those 62 proteins, they used antibodies after fixation to find where they are inside the synapse. That shows that the proteins are still there and that they’re still even identifiable with antibody labeling.
Bulk measurements can’t measure a difference in proteins content between fixed vs frozen tissue: Check out this paper: Proteome, Phosphoproteome, and N-Glycoproteome Are Quantitatively Preserved in Formalin-Fixed Paraffin-Embedded Tissue and Analyzable by High-Resolution Mass Spectrometry. These guys took rats and measured the protein content of fresh-frozen brain tissue vs the protein content of brain tissue that they paraffin embedded, which involves pretty harsh chemical treatment after initial aldehyde fixation, including total removal of all water via alcohol and xylene dehydration, and infiltration of paraffin wax into the tissue. Here’s their results:
Figure 2. Comparison of FFPE-FASP and FASP (the method used to measure proteins) protocols using FFPE (formaldehyde-fixed and paraffin embedded) and fresh (frozen) tissue samples. Yields of (A) proteins and (B) peptides obtained from FFPE and fresh and samples. Error bars represent standard deviation (n ) 4). (C) Protein extracts from 100 µg wet tissue that was either FFPE treated or fresh were separated by SDS-PAGE and Coomassie stained. (D) Overlap of proteins identified from FFPE and fresh samples. (E) Frequencies of amino acid residues in identified peptides. (F) Subcellular distribution of identified proteins using GeneOntology annotations. From (Ostasiewicz et. al. 2010). Bold parts are my additions for clarity.
This is a bulk measurement, essentially measuring whether proteins are extracted “in bulk” after chemical fixation + really harsh chemical treatment afterwards. They don’t find any measurable difference between the samples in terms of protein content. They don’t find any difference in amino acid distribution. The SDS-PAGE results are a little blurred after fixation and have extra “heavy” stuff, which is exactly what you’d expect from crosslinking. Protein content after fixation is my second-favorite null result in science (my favorite is neurological differences after DHCA).
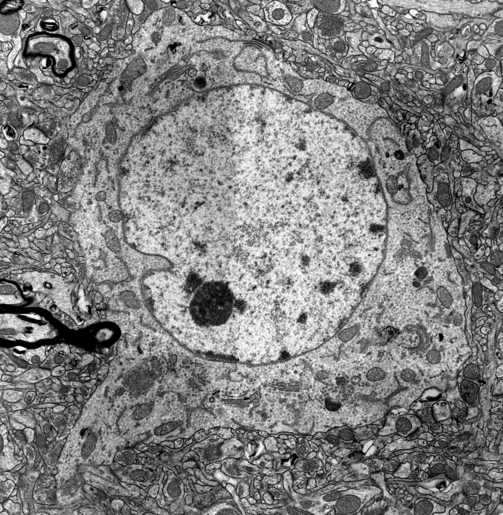
Take a look at the preservation in the demo at https://nectome.com/end-to-end/. Here’s a neuron, preserved with our method, witnessed by Andrew Critch, and stored at 60°C for 12 hours.
Here’s DNA in the nucleus, trapped inside the gel created by fixation (and also crosslinked itself):
Here’s a Golgi apparatus:
If you look closely, you can see individual ribosomes, locked in the gel along with all the other proteins (they’re the faint grey dots).
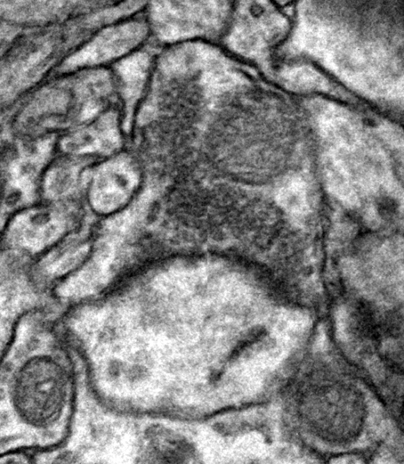
Here’s a synapse:
It’s in the same orientation as the model synapse at the start, with the active zone on the bottom and a mitochondria in the upper right. Those individual dark dots in the synapse are each a vesicle (they’re the white spheres in the 3D model), and they each still have neurotransmitter in them. This synapse had probably two million proteins in it before preservation. After preservation, almost all of those two million proteins are likely still there.
The question of how much structure is “enough” is definitely a much-debated topic among preservationists. Nectome team members might not all draw the line at exactly the same point. What we are all agreed on is that our method preserves more than we expect to be necessary, and preserves as much as we possibly can. Our fixatives will lock proteins in place, preserving information at a molecular level, rather than just at the whole-neuron level.
In a similar vein, very deep anesthesia can lead to “burst suppression” where the brain becomes iso-electric. This is avoided in usual clinical or surgical practice, because there is no pragmatic benefit from going that far. In the elderly or unwell, it correlates to increased risk of post-operative delirium or transient cognitive impairment.
However, trials on healthy volunteers found no evidence of cognitive impairment or worsened recovery times.
https://pmc.ncbi.nlm.nih.gov/articles/PMC6676227/
>Volunteers demonstrated marked variability in multiple features of the suppressed EEG. In order to test the hypothesis that, for an individual subject, inclusion of features of suppression would improve accuracy of a model built to predict time of emergence, two types of models were constructed: one with a suppression-related feature included and one without. Contrary to our hypothesis, Akaike information criterion demonstrated that the addition of a suppression-related feature did not improve the ability of the model to predict time to emergence. Furthermore, the amounts of EEG suppression and decrements in cognitive task performance relative to pre-anaesthesia baseline were not significantly correlated.
Now, the brain and body was clearly on life support (as is necessary if you’re doing this with a warm body), but that’s another example of how the brain can bootstrap consciousness after severe disruption and signaling failure. Then there’s the evidence from people who endure generalized seizures (though those can cause damage because of excitotoxicity, my point is that disruption is not death or necessarily severe damage).
Or even ECT, which is the closest my profession gets to turning the whole system off and on again, and which works remarkably well.
It didn’t make the final draft of this post, but we did consider mentioning anesthesia’s ability to turn the brain ‘off’. I like Matta et al 1995, because “make the brain flatline on an EEG” was considered harmless enough by the medical community that it passed an ethics review board to do this to patients who didn’t need it, just because it helped researchers test the exact mechanisms of anesthetic operations:
https://journals.lww.com/anesthesiology/fulltext/1995/11000/direct_cerebrovasodilatory_effects_of_halothane,.11.aspx