When cryoprotectants are perfused through the blood vessels in the brain, they cannot cross the blood-brain barrier as fast as water can move in the opposite direction. And cryoprotectants generally have a much higher osmotic concentration than the typical blood plasma. For example, the cryoprotectant solution M22 has an osmotic concentration around 100 times higher.
As a result, in a successful cryoprotectant perfusion (without fixatives), water rushes out of the tissue into the blood vessels, the tissue dehydrates, and you end up with a shrunken brain that is visibly pulled away from the skull. The brain weight goes down by 50% or more. This is currently considered a good sign of cryoprotectant perfusion quality.
Instead, the key question is what this severe dehydration does to the nanometer-scale structures in the brain, such as the connections between neurons, that are thought to be the key parts of the information that encodes long-term memories.
Previous attempts at imaging this type of brain tissue were stymied because the severe dehydration made the tissue look unrecognizable. Synapses could be seen, but it wasn’t possible to clearly identify individual neurites or trace them to see whether the connectome is intact:
The authors are not very enthused about freezing-based approaches. They show electron micrographs of rabbit brains that were perfused with glycerol and slowly frozen, which have large ice cavities that grossly distort the tissue:
Their position seems to be that vitrification — i.e., cooling without ice formation — is the only serious path forward for brain cryopreservation. But vitrification requires especially high concentrations of cryoprotectants, which causes the severe dehydration that has made it difficult to assess whether the connectome is preserved.
Rabbit experiments
They performed two types of rabbit experiments.
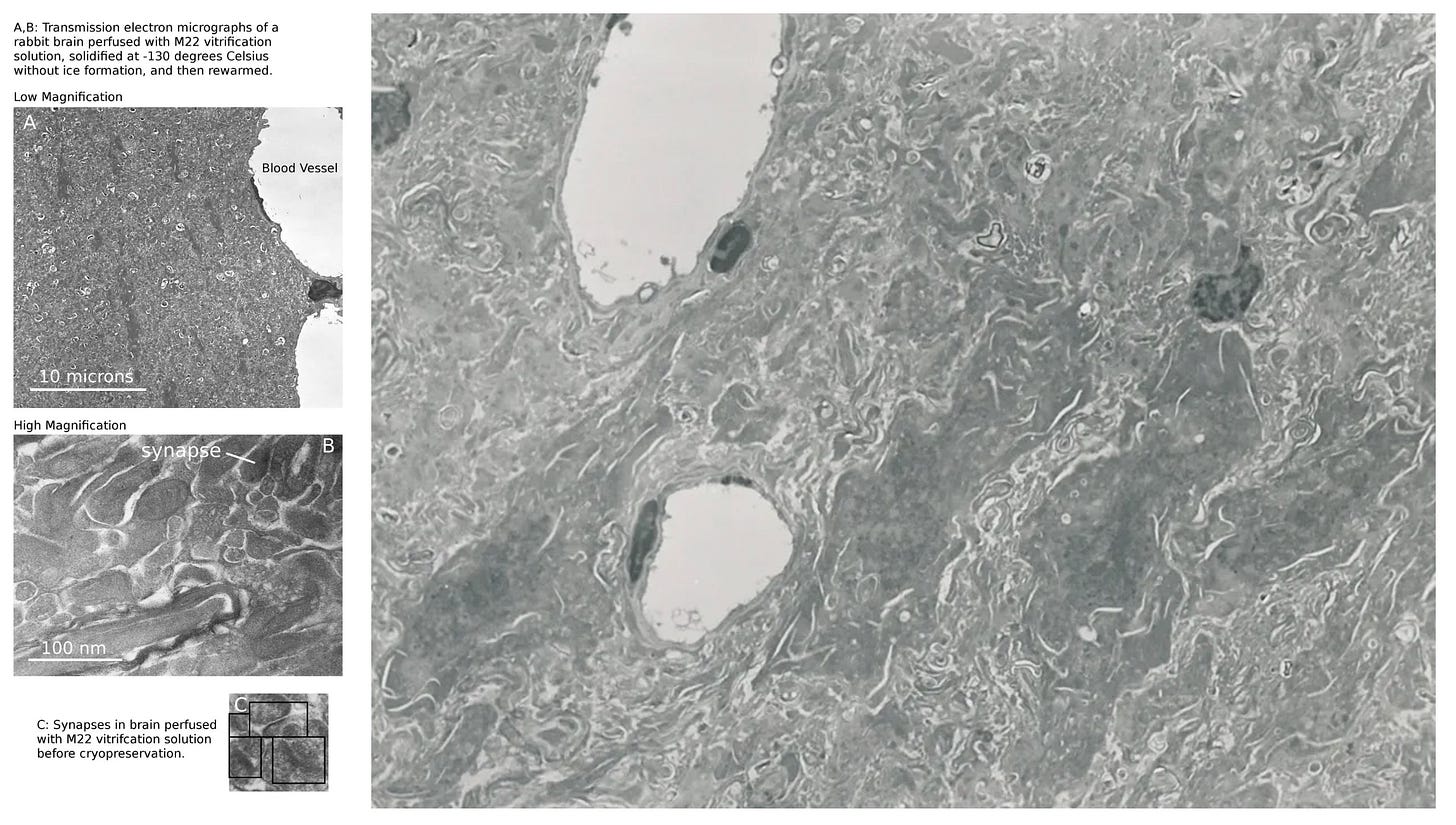
In the first group, rabbit brains were perfused with M22 for 60 minutes, vitrified, rewarmed, and then fixed with a solution that still contains the same concentration of cryoprotectant. This shows us what the tissue looks like in its shrunken state. At high magnification they can identify synapses, mitochondria, and what appears to be some morphologically intact cell membranes. But everything is compressed, making it difficult to clearly distinguish or trace individual cellular processes. These look similar to the previous images of vitrified brain tissue.
In the second group, rabbit brains were perfused with M22 and then gradually diluted back to a lower concentration of cryoprotectant before fixation — to 5M, 3M, or 1M. This tests the extent to which the shrinkage is reversible.
Although notably, it seems to me that most of the shrinkage is expected to occur between 0 and ~3M concentration of cryoprotectant. So my understanding is that diluting from full M22 back to 3M or 5M wouldn’t be expected to reverse most of the dehydration, although I might be wrong about that:
Anyway, they found that at 5M, the tissue is still quite shrunken. After reversal to 3M, though, things look considerably better, as the neurons have more normal-looking apical axons, and synapses with visible presynaptic vesicles can be identified. This is probably their best-looking EM data. However, there are various forms of damage, such as the wavy intracellular white spaces, that I don’t understand the cause of. Also, there are some places in the zoomed-in image (C) where I can’t really tell whether I am looking at two smaller processes or one larger one:
When they reverse to 1M (Fig 10), things go a bit wrong. While they can see nicely preserved synapses with clear presynaptic vesicles, they also see what they call “exploded” neurons, which they attribute to osmotic damage from removing the cryoprotectant too quickly.
They report that this problem is solvable, by using osmolytes to counterbalance the intracellular cryoprotectant during washout. They report that this can prevent this ultrastructural damage “even when all M22 is washed out of the brain.” But this data is not presented in the paper. It’s cited as “Spindler et al., in preparation.”
Human data
The human data comes from a single brain, that of a 73-year-old terminal cancer patient who donated biopsy samples of his brain for this research. His brain had significant ischemic injury before preservation even began, consisting of two days of agonal hypoxia before legal death, then three hours of cold ischemia before perfusion started. That’s important because it’s actually an example of realistic brain preservation conditions.
Cortical biopsies were taken after whole-brain M22 perfusion, plunged into liquid nitrogen, and stored for four years. They were then warmed and processed in different ways.
Some biopsies were warmed straight into fixative containing M22, showing us the fully dehydrated state. As expected, it is severely shrunken and electron-dense, but without obvious ice damage. On electron microscopy, they can identify synapses and some intact-appearing membranes.
Other biopsies of the human brain were rewarmed into diluted M22 (75% or 66%) before fixation. Using light microscopy, they report that this partial rehydration caused cells to regain their general characteristic shapes, with neurites visible.
However, the rehydrated human tissue was only examined by light microscopy, not electron microscopy.
One of the main concerns with vitrification has long been that the severe dehydration might be masking damage to the structure of the brain. For example, if the cell membranes are broken apart or there are areas of washed out structure due to ischemia and rapid osmotic shifts during perfusion, we might not be able to see it when everything is compressed together.
Because the electron microscopy that they did show from the human brain tissue is still so compacted, we can’t really evaluate for the presence or absence of such damage yet with much certainty.
In ideal laboratory animal settings (rabbits), the key result is that they show partial reversibility (to 3M) with improved electron microscopy quality, but still without enough reversibility to see clearly traceable processes across the 2d image. They report that complete washout is actually possible with a new method that they developed, which is fantastic news. But this rests on unpublished work that we will have to wait to see in the future.
Ideally, they would show in this future work that they can reliably trace the connectome across randomly sampled areas of the brain, which would allow the pure vitrification approach to reach parity with aldehyde-based methods in ideal laboratory animal settings, and shift the debate to which method is the best at structural preservation in realistic settings.
In the single human case, they show that perfusion-based vitrification is feasible in at least some parts of the brain even hours after legal death, and that cells regain their general characteristic shapes after partial rehydration. But the rehydrated human tissue was only examined by light microscopy, not electron microscopy, so we can’t tell whether the connectome is likely to be traceable in the local area where this biopsy sample was taken from.
This paper is clearly a step forward and a very important contribution to the brain preservation literature. I would like to personally thank the authors for their important work, and also for explaining how this type of method could potentially be used for medical time travel, which is a premise I totally agree with. Not surprisingly for a single paper, it alone has not resolved the key uncertainties about vitrification-based brain preservation.
Honey, I shrunk the brain
Link post
When cryoprotectants are perfused through the blood vessels in the brain, they cannot cross the blood-brain barrier as fast as water can move in the opposite direction. And cryoprotectants generally have a much higher osmotic concentration than the typical blood plasma. For example, the cryoprotectant solution M22 has an osmotic concentration around 100 times higher.
As a result, in a successful cryoprotectant perfusion (without fixatives), water rushes out of the tissue into the blood vessels, the tissue dehydrates, and you end up with a shrunken brain that is visibly pulled away from the skull. The brain weight goes down by 50% or more. This is currently considered a good sign of cryoprotectant perfusion quality.
Far be it from me to say that a brain preservation method will not work because it seems weird. I myself have proposed that aldehyde fixation — something which is definitively lethal by contemporary medical criteria — may allow people to be revived with meaningful memories intact if humanity develops sufficiently advanced technology in the future. So I’m not going to use the absurdity heuristic here.
Instead, the key question is what this severe dehydration does to the nanometer-scale structures in the brain, such as the connections between neurons, that are thought to be the key parts of the information that encodes long-term memories.
Previous attempts at imaging this type of brain tissue were stymied because the severe dehydration made the tissue look unrecognizable. Synapses could be seen, but it wasn’t possible to clearly identify individual neurites or trace them to see whether the connectome is intact:
A new paper from Greg Fahy et al at 21st Century Medicine provides the most detailed look yet at what happens to brain ultrastructure during vitrification. So naturally, I had a look at it.
What do they think of non-vitrification approaches?
First, the paper opens with a very interesting review of prior work on brain cryopreservation, including some original data from the ever-controversial experiments of Isamu Suda performed in the 1960s.
The authors are not very enthused about freezing-based approaches. They show electron micrographs of rabbit brains that were perfused with glycerol and slowly frozen, which have large ice cavities that grossly distort the tissue:
Their position seems to be that vitrification — i.e., cooling without ice formation — is the only serious path forward for brain cryopreservation. But vitrification requires especially high concentrations of cryoprotectants, which causes the severe dehydration that has made it difficult to assess whether the connectome is preserved.
Rabbit experiments
They performed two types of rabbit experiments.
In the first group, rabbit brains were perfused with M22 for 60 minutes, vitrified, rewarmed, and then fixed with a solution that still contains the same concentration of cryoprotectant. This shows us what the tissue looks like in its shrunken state. At high magnification they can identify synapses, mitochondria, and what appears to be some morphologically intact cell membranes. But everything is compressed, making it difficult to clearly distinguish or trace individual cellular processes. These look similar to the previous images of vitrified brain tissue.
In the second group, rabbit brains were perfused with M22 and then gradually diluted back to a lower concentration of cryoprotectant before fixation — to 5M, 3M, or 1M. This tests the extent to which the shrinkage is reversible.
Although notably, it seems to me that most of the shrinkage is expected to occur between 0 and ~3M concentration of cryoprotectant. So my understanding is that diluting from full M22 back to 3M or 5M wouldn’t be expected to reverse most of the dehydration, although I might be wrong about that:
Anyway, they found that at 5M, the tissue is still quite shrunken. After reversal to 3M, though, things look considerably better, as the neurons have more normal-looking apical axons, and synapses with visible presynaptic vesicles can be identified. This is probably their best-looking EM data. However, there are various forms of damage, such as the wavy intracellular white spaces, that I don’t understand the cause of. Also, there are some places in the zoomed-in image (C) where I can’t really tell whether I am looking at two smaller processes or one larger one:
When they reverse to 1M (Fig 10), things go a bit wrong. While they can see nicely preserved synapses with clear presynaptic vesicles, they also see what they call “exploded” neurons, which they attribute to osmotic damage from removing the cryoprotectant too quickly.
They report that this problem is solvable, by using osmolytes to counterbalance the intracellular cryoprotectant during washout. They report that this can prevent this ultrastructural damage “even when all M22 is washed out of the brain.” But this data is not presented in the paper. It’s cited as “Spindler et al., in preparation.”
Human data
The human data comes from a single brain, that of a 73-year-old terminal cancer patient who donated biopsy samples of his brain for this research. His brain had significant ischemic injury before preservation even began, consisting of two days of agonal hypoxia before legal death, then three hours of cold ischemia before perfusion started. That’s important because it’s actually an example of realistic brain preservation conditions.
Cortical biopsies were taken after whole-brain M22 perfusion, plunged into liquid nitrogen, and stored for four years. They were then warmed and processed in different ways.
Some biopsies were warmed straight into fixative containing M22, showing us the fully dehydrated state. As expected, it is severely shrunken and electron-dense, but without obvious ice damage. On electron microscopy, they can identify synapses and some intact-appearing membranes.
Other biopsies of the human brain were rewarmed into diluted M22 (75% or 66%) before fixation. Using light microscopy, they report that this partial rehydration caused cells to regain their general characteristic shapes, with neurites visible.
However, the rehydrated human tissue was only examined by light microscopy, not electron microscopy.
One of the main concerns with vitrification has long been that the severe dehydration might be masking damage to the structure of the brain. For example, if the cell membranes are broken apart or there are areas of washed out structure due to ischemia and rapid osmotic shifts during perfusion, we might not be able to see it when everything is compressed together.
Because the electron microscopy that they did show from the human brain tissue is still so compacted, we can’t really evaluate for the presence or absence of such damage yet with much certainty.
Summary
In brain preservation, as much as possible, we need objective metrics. One metric that has been proposed by Ken Hayworth and Sebastian Seung is to see whether it is possible to trace the connectome of a preserved brain. This is widely viewed by researchers as one of the best available metrics of preservation quality.
In ideal laboratory animal settings (rabbits), the key result is that they show partial reversibility (to 3M) with improved electron microscopy quality, but still without enough reversibility to see clearly traceable processes across the 2d image. They report that complete washout is actually possible with a new method that they developed, which is fantastic news. But this rests on unpublished work that we will have to wait to see in the future.
Ideally, they would show in this future work that they can reliably trace the connectome across randomly sampled areas of the brain, which would allow the pure vitrification approach to reach parity with aldehyde-based methods in ideal laboratory animal settings, and shift the debate to which method is the best at structural preservation in realistic settings.
In the single human case, they show that perfusion-based vitrification is feasible in at least some parts of the brain even hours after legal death, and that cells regain their general characteristic shapes after partial rehydration. But the rehydrated human tissue was only examined by light microscopy, not electron microscopy, so we can’t tell whether the connectome is likely to be traceable in the local area where this biopsy sample was taken from.
This paper is clearly a step forward and a very important contribution to the brain preservation literature. I would like to personally thank the authors for their important work, and also for explaining how this type of method could potentially be used for medical time travel, which is a premise I totally agree with. Not surprisingly for a single paper, it alone has not resolved the key uncertainties about vitrification-based brain preservation.