Innate Immunity
Summary: I’ve been reading Parham’s Immunology, and have learned a lot of things that I think people here would enjoy hearing about. So, I’m trying to write it up. I frame the immune system as something designed to fight against germs which reproduce orders of magnitude faster than humans. I discuss a few of the key strategies that the innate immune system (as opposed to the adaptive immune system, which can evolve to keep up with pathogens) uses to deal with this. Namely, I talk about how the immune system can be ferocious and cooperative in a way that germs can’t, and has evolved specific cells to fight against specific kinds of pathogens.
How do you defend against an enemy which can evolve and adapt orders of magnitude faster than you?
That’s essentially the question that the immune system of any large, complex organism attempts to answer. Humans, as an example, generally take decades to reproduce. E. Coli, on the other hand, can reproduce in as little as 20 minutes (though in its natural habitat, it’s more like 10-40 hours). Given that both humans and bacteria have about the same probability of a point mutation occurring at a site, this gives a pretty big and glaring difference between the two organisms’ ability to evolve and adapt.[1] So what’s to stop E. Coli from coming up with some clever mutation to get around the defenses that took you millions of years to evolve and stealing all of your nutrients?
Well, there are a few things that are in your favor. The first is that bacteria need to be generalists. As one author so famously put it:
A bacterial cell should be able to seek out food, chase away competition, evade predators, share information with its sisters, detoxify itself, defend against viruses, spread to new and unknown locations, and successfully replicate. Specialization is for multicellular eukaryotes.
Your cells are under no such restrictions. The only individual cells that need to survive and reproduce are sperm and egg cells, and even those have lots of spares. So, of course, you can have cells which are specialized for combat.
Neutrophils exist to fight
The most common types of immune cells are the “white blood cells”, of which there are several types. The most common of these are neutrophils, which fight pretty directly against germs. Except, “fight” isn’t a great word to describe what they’re doing. There’s fighting, and then there’s fighting. And then there’s fighting like your life depends on it, and there’s fighting like the world depends on it, and then there’s fighting like a neutrophil. Fighting like a neutrophil is not just fighting until your dying breath. Fighting like a neutrophil is using your dying breath to eviscerate yourself and strangle your opponent with your own entrails. I’m not kidding. Neutrophils will literally rip themselves open and form a web with their own DNA to tangle up bacteria.[2] They’re natural fighters, in the truest sense of the word; they know of nothing but birth and the battle they’ve been optimized for hundreds of millions of years to be born to fight. They have immense numbers of microscopic pockets (called “granules”) filled to the brim with deadly and corrosive chemicals, and a lot of the time they’ll grab as many germs as they can and release these, killing themselves and all of their targets at once. They’re fast, they’re efficient, they’re great at calling backup, they number in the tens of billions, and your body is well equipped to produce them constantly and immediately send them off to the meat-grinder. You might wonder why you don’t notice a body part being filled up with dead neutrophils if this is the case. The answer is that you do notice, because dead neutrophils are the major component of pus.
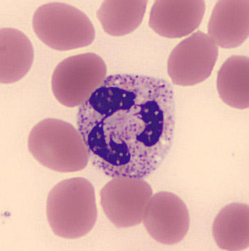
Neutrophils are pretty destructive, and are not good at anything besides killing, so they’re generally banned from entering most spaces in your body unless there’s a chemical distress signal present (which they generally swim up the gradients of, much like how an amoeba swims up the gradient of chemicals which indicate a food source). They look pretty neat, too, with a cell nucleus (the dark part) which looks like it’s made of several blobs connected to each other. All of the little purplish dots are the “granules”, which are the toxin-containing bubbles I mentioned earlier.
So that’s a big component of it. Your innate system is effective because it goes to unbelievable, comical lengths to be that way. You have footsoldiers which number more in your body than humans do on planet earth, made of practically nothing but aggression and toxins and a desire to perish in glorious battle. Germs, on the other hand, generally look out for #1. They aren’t so willing to lay down their lives in service of a greater cause!
Coordination of immune reactions
While neutrophils are my favorite, they’re far from the only thing that makes the innate immune system work. Another advantage that the human immune system has comes from the various mechanisms that coordinate your neutrophils (and other resources!) exactly where they need to be.
Macrophages are another kind of germ-fighting cell. They’re bigger than neutrophils, and look a lot like amoebas. They’re all over the place in the body, not just blood (when they’re not fighting they also have a role of acting like a “janitor”, eating dead cells and removing debris.) They can recognize problems using molecules on their surface which are evolution has hard-coded to recognize integral, hard-to-change features of pathogens. For example, a class of bacteria known as “gram-negative” have molecules called “lipopolysaccharide” (or LPS) on their surface. This kind of structure is pretty hard to vary; it’s been conserved for millions of years, and that’s unlikely to change over the course of one disease. Macrophages can “recognize” these patterns. through their molecules on the surface changing in response to “sticking” on to an LPS molecule. This causes some changes inside of the cell, which lead to several changes. One such change is the release of a “distress signal” to call neutrophils in. Macrophages are longer-lived than neutrophils, and nowhere near as willing to die, so they have an additional function: After killing a germ, they can actually take parts of the germ and give them to your “adaptive immune system”, which has the ability to learn from these body parts how to respond to a germ.[3]
Another way for the immune system to call for backup to a location doesn’t directly involve human cells at all. Instead, there are these proteins floating around the human body called the complement system. These are proteins that normally do nothing, but can “activate” near germs. It’s an extraordinarily intricate system, but I’ll simplify what I can to give you the general gist.[4] One complement protein, C3, becomes “active” when it’s cut in two, which happens more commonly around a pathogen than in other conditions. One half (C3a) wanders away and recruits more immune cells to come near. The other half (C3b) grabs on to the germ and then starts cutting up other C3 proteins, causing a positive feedback loop that ends up covering the germ in C3b and releasing C3a. Of course, lots of cells, including neutrophils and macrophages, live under orders to grab and kill anything covered in C3b.
Eosinophils and NK Cells specialize in fighting certain classes of germs
A close relative of the neutrophil is the eosinophil. Eosinophils are relatives of neutrophils in two senses. The first is that they come from the same type of stem cell. The second is that they look very similar under a microscope. This is because both have tons of microscopic pockets full of toxin (granules), but eosinophils’ toxins are specially purposed for killing parasites. They generally will grab on to something like a parasitic worm, and unload their granules. This allows a relatively small number of eosinophil cells to kill a much larger number of parasitic-worm-cells. There’s another relative of both eosinophils and neutrophils called basophils, but these are somewhat mysterious, largely because they’re so rare.
So far we’ve looked at ways your immune system targets pathogens which are wandering around in the spaces between cells, but there are also some germs which like to take up residence inside of their host’s cells. For example, viruses need a host cell to complete their lifecycle. There are also some pathogenic bacteria which live inside of cell, like the one behind tuberculosis! The Natural Killer cells (“NK cells”) are meant to deal with these threats, namely by killing your own cells which are infected by such parasites. They’re also pretty useful for nipping potential cancers in the bud. Of course, as with all other immune defenses, the natural killers are fallible—that’s why it’s still possible to get sick from a virus or cancer. Natural killer cells are also more “commander-like” than neutrophils; they’re long-lived, like macrophages, and have machinery for recognizing problems and translating that into the appropriate response for backup. I like to think of natural killer cells as a bit like police officers, rather than soldiers. They’re designed more for dealing with subversive citizens than foreign invaders, quick to call for backup, and good at directing traffic. On that last point, it’s interesting to note that there is a sub-class of natural killer cells present in the uterus, which don’t do any killing at all, and essentially direct traffic full-time.
Wrapping up
The innate immune system is fallible, but honestly, all things considered, it’s actually pretty good. Compare the rate at which you encounter germs with the rate at which you get sick. The innate immune system is largely responsible for that. It’s memorized the most common signatures of problems, and it hunts them down with a genetically-determined ruthlessness that’s rarely seen on macroscopic scales. It’s able to have many classes of cells which are specialized to take care of specific kinds of problems, but also have the ability to coordinate with each other. The next time you scrape your knee and don’t get an infection, remember to feel grateful! And the next time you feel puny or insignificant, remember that tens of billions consider you to be a cause worth dying for.
(edited for clarity, grammar, and flow)
(Please leave any comments if there are parts of this that you didn’t understand, so that I can clarify them)
- ^
Sexual reproduction allows for helpful mutations to spread throughout the population more quickly than the asexual reproduction practiced by bacteria. That said, there are ways that bacteria can share information, too.
- ^
And even then, they can sometimes continue to fight without their DNA. If you were truly born to fight, why would you need something as superfluous as genetic material?
- ^
The adaptive immune system is the subject of another post. In short, though, it has the capacity to “learn” about how to fight specific pathogens using pieces of them. If you’ve ever heard of antibodies, they effectively come from a restricted form of evolution wherein B-cells (the cells which produce antibodies) get to reproduce more if they do a better job of recognizing the piece of the germ as a piece of a germ. They also mutate themselves a bunch to explore a huge range of the space of possible antibodies.
- ^
This video by Kurzgesagt goes into more detail while remaining non-tedious. If you want even more detail, you can read Parham or Janeway’s discussion of the complement. You’ll also learn a newfound sense of pity for premed and med students.
Strong upvoted! I am interested in immunology and combat sports and security research, so I found the neutrophil example to be very cool and compelling. Do you have takes on which aspects of real immune systems are most likely transfer to their analogous defensive structures in LLM biology?
Thanks so much!
I’m unsure about what you mean by “defensive structures in LLM biology”. Could you clarify a bit?
Personally, I feel like the closest analogue to an immune system in LLMs, something to keep the “nasty thoughts out”, is the (relatively light) layer of finetuning for refusal implemented in most commercial LLMs. I’m not sure if this is what you’re pointing at, though, so please clarify if I’m wrong.
I think a lot of this comes from the history of LLM’s refusal mechanisms, compared to the immune system. Human immune systems have had a lot of optimization pressure applied, over a very long period of time, a history that, for example, refusal mechanisms in LLMs don’t seem to have. On the note of cybersecurity, it kinda feels like the immune system is battle-hardened in a way that software written by a company with a lot of experience and cybersecurity personnel is, like a new Google app, but software written by a small group of relatively inexperienced people isn’t.